I try what excites me, I pause at what disappoints me, and I speak the truth in between.
Cerazette Mini Pill Review — Almost 3 Months of Real Use
HEALTH & WELLNESS
illy


Cerazette (Progestin-Only Pill): Effects, Changes, and Real Outcomes
Cerazette was prescribed to me as a progestin-only contraceptive. Because I have a cavernoma, combined hormonal pills are not an option for me, which meant my choices were already limited. The mini pill felt like the safest path available, so I started it carefully, paying close attention to how my body would respond. What I was looking for was simple and quiet; reliable protection without creating imbalance, and something my body could live with.
Product: Cerazette (Desogestrel Mini Pill)
Category: Hormonal contraception
Used for: Birth control
Test period: 2 months and 3 weeks
Would I continue using it? No
Best for: People who cannot take combined pills and tolerate progestin well
Not ideal for: Acne-prone skin and those sensitive to hormonal imbalance
Why I Chose Cerazette
Because of my medical condition, estrogen-based pills were not allowed for me. Cerazette is often described as a safer option in these cases, and many people say it feels lighter on the body. My goal was simple: protection without side effects that would take over my daily life.
Daily Use & Packaging Experience
The packaging is honestly one of the best things about this pill.
Each tablet is clearly labeled with the day, which makes it very easy to track. The pills are small, with no smell, and easy to swallow.
However, this pill must be taken at the exact same time every day. Missing it or delaying it is not recommended, so it quickly became something I treated like my phone; always with me. Setting a daily alarm is not optional, it’s necessary.
My Experience Month by Month
First Month
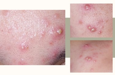
From the very beginning, my body started to show mixed signals. My period arrived on time and my mood remained stable, which initially felt reassuring. However, during this first month, my skin began to react. It didn’t start with mild breakouts, but with deeper, painful pimples that made my face feel sore and sensitive to the touch.
Second Month
As the second month went on, my skin reaction got worse. The acne wasn’t just popping up now and then anymore — it was constant and painful. My skin stayed red and inflamed, and the breakouts kept coming back in the same spots, never fully healing before new ones showed up. On top of that, I started feeling breast pain and tenderness, which made everything feel even more unsettling.
This clearly wasn’t a short purge. Even after two full months, the acne cycle didn’t stop, and nothing seemed to calm down.
Cycle Changes
My first period came after 26 days, which is normal for me.
The following cycle was delayed to 35 days.
When my period arrived, the pattern was exhausting:
First 3 days: only spotting
Then: full bleeding that lasted 12 days
Before Cerazette, my periods were usually 6 to 7 days. This length felt overwhelming physically and mentally.
Third Month
The same pattern repeated.
Long bleeding, unpredictable timing, and skin that continued to worsen instead of calming down. Breast pain was still present as well. At this point, my body felt constantly out of balance.
What I Appreciated
Very good packaging design
Easy to track daily use
Small, odorless tablets
Mood stayed relatively stable
What Made Me Stop
Severe, painful acne that did not improve
Ongoing skin inflammation
Long and irregular periods
Spotting followed by extended bleeding
Feeling hormonally unbalanced over time
These effects did not fade with time, which is why I decided this pill was not right for me.
Who This Pill May Work For (and Who It May Not)
May suit you if:
You cannot take combined hormonal pills
Your skin is not sensitive to hormonal changes
You tolerate progestin-based contraception well
May not suit you if:
You have oily or acne-prone skin
Your skin reacts strongly to hormones
Long or irregular periods affect your quality of life
The Miskin Score
Packaging & usability: ⭐⭐⭐⭐☆
Ease of daily use: ⭐⭐⭐⭐☆
Skin tolerance (for me): ⭐⭐☆☆☆
Cycle regulation: ⭐⭐☆☆☆
Overall: 3.8 / 10
Final Honest Verdict
Cerazette is not a bad pill, but it was not right for my body. While it was easy to take and well designed, the impact on my skin and cycle became too heavy to ignore. For me, listening to my body mattered more than forcing an adjustment that wasn’t happening.
This review reflects my personal experience. Hormonal contraception affects everyone differently, and this is shared to inform, not to generalize. It should not be considered medical advice, and individual responses may vary


Contact
For any questions, feel free to write to us here.
Sign up
© 2026. All rights reserved.
